أعراض يومية شائعة قد تكون مؤشرات على أورام الدماغ

صنعاء سيتي | متابعات 

 

 

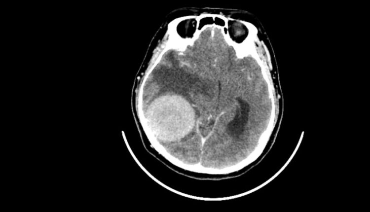
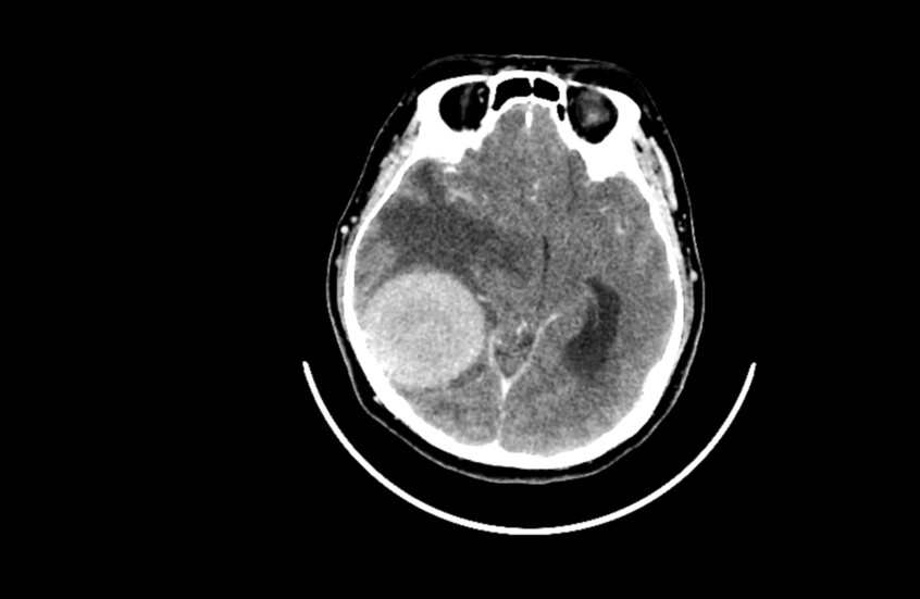
حذرت باحثتان من جامعة كوين ماري في لندن من أعراض يومية شائعة غالبا ما تُهمل “قد تكون في بعض الحالات علامات مبكرة على ورم في الدماغ”.

وأجرت كل من لورا ستاندن، طالبة دكتوراه، وسوزان سكوت، أستاذة جامعية، مقابلات مع مرضى شُخصوا بأورام دماغية، ووجدتا أن هناك نمطا متكررا من تجاهل الأعراض المبكرة من قبل المرضى والأطباء العامين على حد سواء، ما يؤدي إلى تأخير التشخيص.

أهمية التشخيص المبكر

أكدت الباحثتان أن الكشف المبكر عن أورام الدماغ أمر بالغ الأهمية لتحسين فرص النجاة، حيث لا يعيش سوى ربع المصابين بأورام الدماغ في مراحلها المتأخرة أكثر من عام.

وتشمل العلامات التي تستدعي الانتباه لها:

  • صعوبة إيجاد الكلمات أو تكوين الجمل، ما يعطل المشاركة في المحادثات اليومية.
  • ضبابية الدماغ، أي صعوبة في التركيز أو التفكير بوضوح أو تذكر المعلومات.
  • خدر ووخز في أجزاء من الجسم، أحيانا يظهر في جانب واحد فقط.

الصداع المزمن المستمر أو المتكرر.

وأوضحت الباحثتان أن تكرار الأعراض أو ظهورها مجتمعة، حتى لو بدا أنها مرتبطة بالتوتر أو التعب، يستدعي تقييما طبيا عاجلا.

تجارب المرضى

روى المرضى شعورهم بالغموض وعدم القدرة على التعبير عما يشعرون به عند ظهور صعوبة في تكوين الجمل، وضبابية الذهن وخدر أو وخز في الوجه والجسم، إضافة إلى مشاكل في الكتابة والتنسيق الحركي. وأوضحت الباحثتان أن الأعراض غالبا ما تُنسب للتعب أو التوتر، لكنها قد تكون مؤشرا على ورم دماغي إذا استمرت.

أبحاث حديثة للكشف المبكر

تعمل الباحثتان على تطوير أدوات تساعد الأطباء العامين على اكتشاف أورام الدماغ مبكرا، عبر اختبارات للوظائف الإدراكية لتقييم الذاكرة ومهارات اللغة، وخزعات سائلة للكشف عن أجزاء من الحمض النووي للورم في الدم.

التعليقات مغلقة.